Aneurysmatische Knochenzyste : Knochenzysten Knochen Gelenk Und Muskelerkrankungen Msd Manual Ausgabe Fur Patienten
Auch die aneurysmatische Knochenzyste betrifft vor allem Patienten im Kindes- und Jungendalter und macht dort sogar 6 aller tumorhaften Knochenveränderungen aus. Prinzipiell kann sie an allen Knochen auftreten.

Figure 12 Tumoren Des Fusses Und Der Sprunggelenkregion Springerlink
Synonyme expansives Hämangiom ossifizierendes Hämatom periostales Hämatom.

Aneurysmatische knochenzyste. Darüber hinaus wird ACC am häufigsten in der Wirbelsäule nachgewiesen was an sich die Schwere der Erkrankung und das Risiko von Komplikationen des. Nach der WHO wird die aneurysmatische Knochenzyste definiert als expansiv wachsende osteolytische häufig multilokuläre blutgefüllte Läsion die durch lockeres Bindegewebe septiert wird. Bei der aneurysmatischen Knochenzyste werden zusätzlich Adjuvanzien eingesetzt.
Die aneurysmatische Knochenzyste ist eine seltene tumorähnliche Erkrankung die jeden Skelettabschnitt involvieren kann und sich überwiegend im Kindes- oder Jugendlichenalter manifestiert. Es handelt sich dabei um eine im Knochen befindliche blutgefüllte Zyste welche durch Septen in mehrere einzelne Hohlräume unterteilt also gekammert ist. Zur Auffüllung bietet sich Knochenzement an.
Dieser wächst dabei so stark dass er bis zur Epiphyse reichen kann. Am häufigsten tritt eine aneurysmatische Knochenzyste nach einer direkten Verletzung eines Knochens. Aneurysmatische Knochenzysten werden normalerweise bei Frauen im Alter zwischen 10 und 15 Jahren gesehen.
Assoziation der sekundären aneurysmatischen Knochenzyste mit verschiedenen Tumoren wie Chondroblastom Riesenzelltumor oder Osteosarkom Klinische PräsentationSymptomatik Je nach Lokalisation Schmerzen Schwellung und Bewegungseinschränkung oder aber Zufallsbefund bei pathologischer Fraktur. Solche Knochen finden sich in den Armen und Beinen. Nach Abschluss der Wachstumsphase kann die Zyste ebenfalls in die Epiphyse reichen.
Häufiger befindet es sich in den Wirbeln Beckenknochen seltener in der Nähe der Köpfe langer röhrenförmiger Bürsten. Aneurysmatische Knochenzyste 1 p 45 Degenerative Gelenkerkrankungen am Beispiel der Koxarthrose 3 p 45 Degenerative Gelenkerkrankungen am Beispiel der Koxarthrose 3 p Fallbeispiel. Aneurysmatische Knochenzyste Knochenzysten zählen zu den häufigsten tumorähnlichen Läsionen des Knochens.
Bei einer 16-jährigen Patientin bestanden seit einem halben Jahr unspezifische progrediente. Die aneurysmatische Knochenzyste gehört in die Kategorie der gutartigen Knochentumore. Das oft über lange Zeit symptomlose und damit häufig unbemerkte Wachstum kann wie im vorliegenden Fall zu ausgedehnten Knochendefekten führen.
Lokalisationen an der Wirbelsäule sind selten. Differentialdiagnostische Schwierigkeiten bei der Abgrenzung gegenüber bestimmten benignen und malignen primären Knochentumoren erfordern neben dem Einsatz. ICD 10 Diagnose Code M855 - Aneurysmatische Knochenzyste.
Die aneurysmatische Knochenzyste ist eine aggressiv expansiv wachsende Zyste. Die aneurysmatische Knochenzyste AKZ wurde 1942 erstmals unter dem jetzigen Namen und 1958 erstmals als im Kieferbereich vorkommend beschrieben Jaffé u. Hinsichtlich der Progredienz weisen aneurysmatische Knochenzysten eine höhere Aktivität auf als solitäre Knochenzysten.
Sie ist ebenfalls häufig an Oberarm und -schenkel zu finden und nimmt mit dem Knochenwachstum an Größe zu. Aneurysmatische Knochenzyste Als aneurysmatische Knochenzyste bezeichnet man einen in der Metaphyse der Röhrenknochen wachsenden mit Blut gefüllten Hohlkörper. Man unterscheidet die einfache juvenile Knochenzyste eine mit seröser Flüssigkeit gefüllte Läsion die in nahezu 80 der Fälle im ersten und zweiten Lebensjahrzehnt diagnostiziert und nur bei Frakturen symptomatisch wird und meist als Zufallsbefund vorliegt von der aneurysmalen.
ACC oder eine aneurysmatische Knochenzyste in der chirurgischen Praxis ist selten aber die Komplexität ihrer Behandlung ist nicht auf einzelne Diagnosen zurückzuführen sondern eher auf das Ende der unspezifischen Ätiologie. Aneurysmatische Knochenzyste des Os metacarpale IV 5 p. Histologisch fällt neben zahlreiche Riesenzellen des Osteoklastentyps reaktiv neu gebildeter Faserknochen auf Barnes L.
Unter einer aneurysmatischen Knochenzyste versteht man eine exzentrisch in der Metaphyse zu findende aggressiv wachsende Zyste. Die aneurysmatische Knochenzyste ist eine seltene in ihrer Ätiologie bisher nicht abschließend geklärte grundsätzlich aber gutartige Knochenläsion. Typischerweise findet man sie in den Metaphysen der langen Röhrenknochen.
Aneurysmatische Knochenzysten werden nicht zu den klassischen bösartigen Tumoren gezählt obwohl sie lokal destruierend als blutgefüllte reaktive Knochenläsionen imponieren. Sie tritt vorwiegend in der Metaphyse auf. Bisher wurden nur 20 Fälle von aneurysmatischen Knochenzysten des Gesichtsschädels publiziert.
Die aneurymatische Knochenzyste tritt häufig an der Wirbelsäule auf und macht ungefähr 10 sämtlicher Wirbeltumoren aus. Aneurysmatische Knochenzyste AKZ - gutartige exzentrisch liegende blasig aufgetriebene Läsion mit zentraler blutgefüllter Zyste und einer umgebenden fibrovaskulären Membran. Definition und Ätiologie Die primäre aneurysmatische Knochenzyste ist eine osteolytische Läsion unbekannter Ätiologie.
Therapeutisch kommt bei juvenilen Knochenzysten die Kürettage inklusive Auffüllung mit Knochenersatzstoffen häufig zur Anwendung. Sekundäre aneurysmatische Knochenzysten treten periostal bei Tumoren z. Bei aneurysmatischen Knochenzysten handelt es sich um tumorartige osteolytische Läsionen mit bis zu 14 cm großen dunkelrot bis bräunlichen Hohlräumen.
Sonstige Veränderungen der Knochendichte und -struktur.

Aneurysmatische Knochenzyste Bewegun Eref Thieme

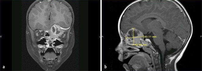
Figure 2 Aneurysmatische Knochenzyste Der Rhinobasis Bei Einem 3 Jahrigen Kind Springerlink

Aneurysmatische Knochenzyste Kind Und Radiologies Webseite

Figure 4 Knochenzysten Differenzialdiagnose Und Therapeutisches Vorgehen Springerlink

Orthoforum Einfache Knochenzyste

Orthoforum Aneurysmatische Knochenzyste Akz
Knochenzyste Der Wirbelsaule Avicenna Klinik

Aneurysmatische Knochenzyste Med Kom

Mum Muskuloskelettales Universitatszentrum Munchen Aneurysmatische Knochenzyste

Aneurysmatische Knochenzyste Eref Thieme

Msk Bone Tumor Flashcards Quizlet

Figure 3 Aneurysmatische Knochenzyste Der Rhinobasis Bei Einem 3 Jahrigen Kind Springerlink

File Aneurysmatische Knochenzyste Jpg Wikimedia Commons

Knochenzysten Knochen Gelenk Und Muskelerkrankungen Msd Manual Ausgabe Fur Patienten

